県南人工関節センターについて
当院の人工関節センターは、変形性関節症や関節リウマチなどによる関節の痛みや機能障害に対し、人工関節置換術を専門に行う医療部門です。高度な技術と豊富な経験を持つ専門医が、患者一人ひとりに最適な治療を提供し、早期の社会復帰と生活の質の向上を目指します。術前から術後まで、安心して治療を受けられる体制を整えています。
県南人工関節センターの体制
センター顧問
みしま はじめ 三島 初 【専門】 股関節外科
役職
副院長・県南人工関節センター顧問
専門分野認定医等
医学博士
日本整形外科学会代議員
日本股関節学会評議員・日本人工関節学会評議員
日本整形外科学会専門医
日本スポーツ協会公認スポーツドクター
センター長
さくた なおき 作田 直記 【専門】 上肢外科
役職
整形外科 上席部長
専門分野認定医等
日本整形外科学会整形外科専門医
博士(医学)
日本整形外科学会認定リウマチ医
運動器リハビリテーション医
日本医師会認定産業医
膝関節外科部門長
おくの こうすけ 奥野 孝祐 【専門】 膝関節外科
専門分野認定医等
日本整形外科学会整形外科専門医
日本スポーツ協会公認スポーツドクター
股関節外科部門長
とつか しょう 戸塚 翔 【専門】 股関節外科
専門分野認定医等
医学博士
日本整形外科学会 整形外科専門医
日本人工関節学会 人工関節認定医
日本スポーツ協会公認 スポーツドクター
難病指定医
専門非常勤医師
股関節外科
ほんま やすひろ 本間 康弘 【専門】 股関節外科
役職
筑波大学医学医療系整形外科 教授
専門分野認定医等
医学博士
日本股関節学会評議員
日本人工関節学会評議員
日本再生医療学会評議員等
日本整形外科学会専門医
膝関節外科
むつざき ひろたか 六崎 裕高 【専門】 膝関節外科
役職
茨城県立医療大学 保健医療学部 医科学センター 教授
専門分野認定医等
医学博士
日本整形外科学会 専門医
日本リハビリテーション医学会 専門医
日本体育協会公認 スポーツドクター
日本障害者スポーツ協会公認スポーツ医
肩関節外科
いけだ かずひろ 池田 和大 【専門】 肩・肘関節外科
役職
筑波大学医学医療系整形外科助教
専門分野認定医等
医学博士
日本整形外科学会専門医
リバース型人工肩関節手術資格認定医
手の外科・肘外科
こうやま しょう 神山 翔 【専門】 手外科・肘外科
役職
筑波大学医学医療系 運動器再生治療学寄付研究部門 講師
専門分野認定医等
医学博士
日本整形外科学会 専門医
日本整形外科学会 認定リウマチ医
日本整形外科学会 認定脊椎脊髄病医
日本手外科学会 専門医・指導医
日本スポーツ協会 スポーツドクター
日本パラスポーツ協会 公認パラスポーツ医
手の外科
よしい ゆういち 吉井 雄一 【専門】 手外科
役職
東京医科大学茨城医療センター 整形外科 教授
専門分野認定医等
日本整形外科学会 専門医
日本手外科学会 認定医
日本リハビリテーション医学会 専門医・指導医
足の外科
のざわ だいすけ 野澤 大輔 【専門】 足外科
役職
茨城県立こども病院小児整形外科部長
筑波大学医学医療系講師
対象疾患
人工膝関節
人工膝関節全置換術(TKA)は、中期から末期の変形性膝関節症に対して行う、最も標準的かつ効果的な治療法の一つです。
変形性膝関節症とは、膝関節の軟骨がすり減ることで炎症が起こり、痛みが生じる病気です。加齢や肥満などが主な原因で、進行すると膝の変形が進み、歩行や日常生活に大きな支障をきたします。(日本整形外科学会「変形性膝関節症」)
実際の手術では、傷んでボロボロになった大腿骨(太ももの骨)と脛骨(すねの骨)の関節表面を取り除き、金属やポリエチレンなどでできた人工関節に置き換えます。
手術後は翌日よりリハビリテーションを開始し、元々の歩行能力にもよりますが、術後2週から4週間程度での自力歩行での退院を目指します。
手術により頑固な膝の痛みが大幅に改善や関節機能の向上が期待できます。適切なリハビリテーションをする事で歩行能力が回復し、日常生活の質(QOL)が向上します。
当センターでは、膝関節内側のみの変形に対する人工膝関節単顆置換術や、初期〜中期の変形性膝関節症に対する関節温存手術(関節鏡治療、脛骨高位骨切り術)も個々の患者さんのニーズに合わせて行っております。

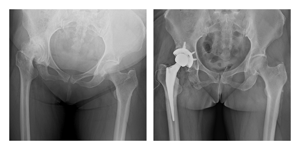
人工股関節
「歩くと痛い」「立ち上がると痛い」「靴下をはくのがつらい」――そんな股関節の痛みでお悩みではありませんか。
変形性股関節症とは股関節の軟骨がすり減ることにより発生する関節の痛みと機能障害です。原因の多くは子どもの時からの発育性股関節形成不全が原因ですが、高齢社会の影響で年齢とともに骨質が悪くなることにより急激に股関節症が進行してくることも増えています。(日本整形外科学会「変形性股関節症」)
当院では、変形性股関節症や大腿骨頚部骨折、大腿骨頭壊死症などに対し、最先端の人工股関節置換術(THA)を行っています。手術技術の進歩による低侵襲手術、人工股関節のインプラント部品の進化による長期耐久性が実現したことで高齢者から比較的若年の方まで手術適応が拡大し、手術患者数は年々増加しております。
人工関節センターでは、整形外科専門医・人工関節認定医が中心となり、経験豊富なチームが患者様一人ひとりに最適な治療を提供します。
私たちの強みは、症例に応じてセメント固定型・セメントレス固定型を適切に使い分けることです。
骨質がしっかりした方には、骨と人工関節が自然に結合するセメントレスTHAを。骨粗鬆症を伴う高齢の方や骨折例には、早期に安定した固定が得られるセメントTHAを選択。どちらも豊富な経験をもとに、安全性と長期耐久性の両立を目指しています。
また、手術は患者様の体にできるだけ負担をかけない低侵襲(MIS)アプローチを採用しています。術前3Dテンプレート計画や簡易ナビゲーションシステムなどの先端技術を活用し、脚長差や可動域のバランスにも細心の注意を払います。
さらに、術後は理学療法士と連携した早期リハビリプログラムを導入し、「手術を受けて良かった」と感じていただけるよう、痛みの軽減だけでなく、“再び自分の足で歩く喜び”を取り戻すサポートを行っています。
股関節の痛みは、我慢せずに相談することが大切です。人工関節センターは、患者様の不安に寄り添いながら、安心して治療を受けられる環境を整えています。
まずはお気軽にご相談ください。